Смотрите также

|
|
Нарушение серотониновой системы и гематоэнцефалического барьера в патогенезе первичной открытоугольной глаукомы
Глаукома 1'2004
В настоящее время общепризнана мультифакторность развития первичной открытоугольной глаукомы (ПОУГ), поэтому сосредоточивание хирургических и терапевтических усилий исключительно на снижение внутриглазного давления (ВГД) нельзя признать адекватным. Сегодня в лечении больных ПОУГ одной из основных проблем является стабилизация зрительных функций после того, как ВГД нормализовано. Основными причинами прогрессирования заболевания являются неустраненная хроническая гипоксия и ишемия тканей глаза и мозга [2].
Наше внимание в проблеме патогенеза глаукомы привлек серотонин один из эволюционно самых старых центральных нейротрансмиттеров, принимающий участие в регуляции тонуса и ритмических колебаний кровеносных микрососудов, обеспечивающих нормальный тканевой обмен и гомеостаз, а также регулирующий поведенческую систему человека 16 . За более чем 50-летнее изучение роли серотонина в организме человека и млекопитающих открыто 14 типов серотониновых рецепторов. Значение многих из них в глазной физиологии полностью не объяснено и является предметом продолжающихся исследований.
Серотонин и его рецепторы присутствуют практически во всех структурах глаза и зрительного анализатора. Известно, что серотонинэргические рецепторы присутствуют в эпителии роговицы, а концентрация серотонина в слезной жидкости человека составляет 2,74 нг/мл. Концентрация серотонина в камерной влаге человека в 4 раза ниже, чем в плазме 17 . Многочисленные исследования на животных позволили установить, что снижение ВГД и регуляция циркуляции камерной влаги связана со стимуляцией серотониновых 5-НТ1А рецепторов радужки и цилиарных отростков 14 . Кроме этого, было показано, что серотонинэргическая система в сетчатке (амакриновые клетки, внутренние и наружные плексиформные слои сетчатки, пигментный эпителий сетчатки) специфически связана с палочками сетчатки 5, 12 . Установлено, что супрахиазматические ядра получают афферентные сигналы от сетчатки и мезенцефалического шва, и что серотониновые рецепторы располагаются пресинаптически на сетчаточных аксональных терминалах в супрахиазматических ядрах 11 .
Исследования последних лет показали, что у млекопитающих фактически все серотонинэргические нейроны локализуются в ядрах шва и ретикулярной формации 4 . Распределение серотониновых рецепторов было изучено как в мозгу здоровых добровольцев и в постсмертных препаратах человеческого мозга, так и у животных 9 . В результате была показана высокая плотность серотониновых рецепторов, расположенных в первичной зрительной коре (поле 17). Это указывает на важную роль серотонинэргической передачи в модулировании зрительной афферентной активности. Кроме этого, было показано, что серотониновые нейроны регулируют локальное церебральное кровообращение 7 . Поэтому, по мнению некоторых авторов, дисфункция в нейронально-астроцит-васкулярном взаимодействии может быть результатом дефицита перфузии в зрительной коре 8 . В последние годы было показано, что стимуляция серотониновых рецепторов ингибирует процесс апоптоза [3 . Неединичные факты свидетельствуют также о протекторной роли серотонина при развитии церебральной ишемии 6 . Как в организме, так и в условиях in vitro было показано нейропротекторное (антиапоптотическое) действие агониста серотонинового рецептора Bay X372 13, 15 . Для понимания процесса апоптоза зрительного нерва у больных глаукомой важны результаты исследований, свидетельствующие о том, что стимуляция серотониновых астроглиальных рецепторов увеличивает освобождение нейротрофического протеина S-100 beta, защищающего от глутаматового и стауроспорин-вызванного повреждения 3, 18 . Таким образом, к сегодняшнему дню известно, что серотонин имеет прямое отношение к нормальному кровоснабжению глаза, ВГД, регуляции динамики камерной влаги, к восприятию, обработке и хранению зрительных образов, а также к трофике нейронов.
В отечественной и зарубежной литературе мы не нашли публикаций, посвященных влиянию блокаторов серотониновых рецепторов и средств, содержащих серотонин, на состояние полей зрения и остроты зрения у здоровых и больных ПОУГ.
Цели исследования:
1) изучить влияние селективного блокатора 5-НТ3 рецептора латрана на состояние ВГД, поле зрения (ПЗ), остроту зрения (ОЗ) у здоровых волонтеров;
2) изучить влияние 2 видов активированных аутоплазм (ААП): с высокой фибринолитической и резорбтивной активностью и обладающая, кроме указанных свойств, повышенным на 60-250% содержанием серотонина (ААПС)) на указанные выше показатели больных ПОУГ.
Материал и методы
Обследовано 10 нормотоничных глаз у 5 здоровых добровольцев (2 мужчин и 3 женщины) и 59 глаз у 31 больного ПОУГ развитой и далеко зашедшей стадией (14 мужчин, 17 женщин). Средний возраст добровольцев составил 43,4 года (от 46 до 54 лет). Возраст больных ПОУГ находился в пределах 50-78 лет (в среднем 59,1 года). Острота зрения здоровых лиц с коррекцией от 0,8 до 1,0; ВГД 17 мм рт.ст. Измерение ВГД проводили на тонометре Топкон СТ-20 (Япония), поля зрения исследовали методом автоматической тотальной статической периметрии (Perimat 206, Rodensttock (Германия); автоматический периграф "Периком", Россия) и кинетическим методом на полушаровом периметре (Carl Zeiss Jena). Все добровольцы принимали селективный блокатор серотониновых рецепторв-5НТ3 латран, широко применяемый в медицинской практике для предупреждения послеоперационной тошноты и рвоты. Препарат назначалb по 0,008 г через 8 ч в течение 5 суток. ВГД, ОЗ и состояние ПЗ определяли за 2 и 1 день до назначения латрана, на следующий день после окончания курса указанного препарата, а также через 1, 2, 4, 8 и 12 недель.
У всех больных ПОУГ, кроме вышеуказанных методик, состояние периферических ПЗ оценивали по сумме градусов в 8 меридианах, у некоторых больных состояние центрального ПЗ исследовали на зрительном анализаторе Humphrey (США). Все больные ПОУГ получали более одного местного гипотензивного препарата ВГД не превышало 17-24 мм рт.ст., ОЗ с коррекцией находилась в пределах 0,07-0,8. У всех больных в течение последних 3-6 мес. на одном глазу при офтальмоскопии в центральной зоне определялся ретинальный отек и (или) единичные точечные геморрагии.
Больные рандомизировано были распределены на 2 параллельные группы: одна группа (16 больных) получала ААП, обладающую фибринолитическим и резорбтивным действием 1 , другая группа (15 пациентов) ААП, обогащенную серотонином. Уровень серотонина в плазме определяли флуориметрическим методом на спектрофотометре SPF-125, AMICO (США).
Аутопрепарат в обеих группах вводили один раз в сутки парабульбарно по 0,5-0,8 мл на стороне поражения и внутримышечно по 7,0-10,0 мл 4 раза в неделю. Курс лечения включал 12 парабульбарных и 12 внутримышечных инъекций. Всем больным до лечения, сразу после лечения, через 1, 2, 6, 9 и 12 мес. проводили офтальмоскопию, определяли ОЗ, ВГД, исследовали состояние ПЗ с использованием статической и кинетической методик.
При статистическом анализе использовали Student,s test- p 0,05(*), p 0,01(**).
Технология получения ААП
В процессе необратимой агрегации тромбоцитов in vivo одновременно происходит как выделение биологически активных веществ, так и формирование тромбоцитарной пробки. При этом вещества, усиливающие агрегацию тромбоцитов и угнетающие фибринолиз, остаются в образуемом агрегате - тромбе, а вещества, усиливающие фибринолиз и ингибирующие агрегацию тромбоцитов, высвобождаются из гранул тромбоцитов и уносятся током крови от очага повреждения. Нами для получения двух видов ААП предложено следующее: 1) в богатой тромбоцитами плазме запустить механизм необратимой агрегации тромбоцитов путем добавления к ней 0,3-0,4 мг/мл 1% раствора acidum adenosintriphosporicum (ATФ) которая при создании в пробирке турбулентного движения переходит в агрегант тромбоцитов - adenosine-diphosphate (ADФ); 2) после образования тромбоцитарных агрегатов центрифугированием осадить их на дно пробирки, вследствие чего в супернатанте остаются вещества, усиливающие фибринолиз и ингибирующие агрегацию тромбоцитов; меняя режим центрифугирования от 1000 до 3000 оборотов в минуту в течение 10-30 мин., можно получить либо препарат с фибринолитическим и резорбтивным действиями (ААП) либо аутопрепарат, который, кроме этих свойств, будет содержать (сравнительно с интактной плазмой пациента) повышенное на 60-250% содержание серотонина (ААПС); 3) для сохранения активности веществ, находящихся в супернатанте, после окончания центрифугирования его извлекают из пробирки. Последний, собственно, представляет собой гемокомпонентный препарат, условно названный нами активированной аутоплазмой. Ее свойства сохраняются в течение 6 ч при температуре 20-25 С, и в течение 18 мес. при температуре минус 17 С.
Результаты
В группе волонтеров ВГД до назначения латрана было 13,3 0,79 мм рт.ст., после его курсового приема ВГД достоверно повысилось(*) и составило 16,1 0,71 мм рт.ст. Из 10 глаз в 2 (два пациента) ВГД не изменилось; максимальное повышение ВГД составило 6,0 мм рт.ст. на 1 глазу; на 4,0 мм рт.ст. повысилось в 2 глазах и на 3,0 мм рт.ст. повысилось в 5 глазах. Во всех глазах в течение 5-6 недель офтальмотонус установился на уровне исходного. При исследовании периферических границ ПЗ за весь период наблюдения не отмечалось отклонений от нормы, а сумма в среднем составила 520 3,3 . До назначения латрана в 5 глазах были зафиксированы единичные скотомы в количестве от 1 до 3 (в среднем 0,8 0,11), после окончания приема латрана скотомы определялись во всех глазах в количестве от 4 до 14 (в среднем 7,6 1,05;**), исходного уровня количество скотом достигло через 12 недель. ОЗ за весь период наблюдения не изменилась ни в одном глазу.
В группе из 16 больных ПOУГ, получавших ААП, ОЗ до лечения находилась на уровне 0,38 0,03, после лечения 0,59 0,05(*). Повышение ОЗ, отмеченное в 12 из 16 глаз, находилось в пределах 0,1-0,3; в 4 глазах ОЗ не изменилась. Кроме этого, в 10 из 16 глаз уменьшилось количество и площадь центральных скотом. При офтальмоскопическом исследовании во всех глазах отмечалась почти полная резорбция геморрагий и уменьшение ретинального отека. Состояние периферических границ ПЗ и ВГД за весь период наблюдения как леченных, так и контралатеральных глаз не изменилось и составило в среднем 330 24,3 , 19,0 0,9 мм рт.ст. и 420 11,2 , 20,0 0,8 мм рт.ст., соответственно. ОЗ в контралатеральных глазах не изменилась и осталась на прежнем уровне - 0,61 0,04.
В группе из 15 больных ПOУГ, получавших ААПС, ОЗ повысилась с 0,42 0,05 до 0,65 0,07(*) в 14 из 15 глаз: повышение ОЗ на 0,02 в расчёт не принималось (1 глаз); максимальное повышение ОЗ с 0,5 до 1,0 наблюдали у 1 больного, у остальных пациентов повышение ОЗ находилось в пределах 0,1-0,3. Улучшение ОЗ, как и в предыдущей группе больных, сопровождалось резорбцией геморрагий и ретинального отека. Кроме этого, отмечалось расширение периферических границ ПЗ как в глазах с ПОУГ (с 309 31,2 до 415 20,7 (**) 14 из 15 глаз), так и в контралатеральных, где расширение ПЗ произошло в 13 из 15 глаз в среднем с 370 24,5 до 460 19,5 (*). Границы ПЗ возвращались к исходным через 9-12 мес. ОЗ сохранялась на достигнутом уровне в течение всего срока наблюдения.
Пример 1.
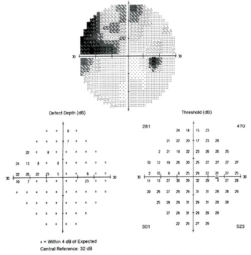
Больная Х.В.И., 62 года. Диагноз: ОD первичная ОУ III a глаукома. Экссудативная макулопатия. ОS первичная ОУ II а глаукома.
ВГД на правом и левом глазу 16,4 и 14,9 мм рт. ст.,соответственно. Границы ПЗ по 8 меридианам на правом глазу 206 , на левом 499 . ОЗ ОD = 0,1 с коррекцией 0,15. ДЗН с четкими контурами, аспидно-серого цвета, сосудистый пучок сдвинут к носу, с перегибом сосудов на 11, 230 и 5 ч. В центральной области глазного дна офтальмоскопируются ретинальный отек и 3 округлые геморрагии. ОЗ ОS = 0,5 с коррекцией 0,6. ДЗН с четкими контурами, монотонно серого цвета, сосудистый пучок сдвинут к носу без перегибов. Экссудативно-геморрагических явлений не выявлено.
Лечение. Больная получала парабульбарно ОD по 0,5 мл аутогемокомпонентного препарата с повышенным содержанием серотонина на 180%, всего 12 инъекций. Кроме этого, этот же препарат вводили внутримышечно по 10,0 мл в количестве 12 инъекций.
После лечения ВГД на ОD = 16,1 мм рт. ст., ПЗ = 373 , ОЗ = 0,3 с коррекцией 0,4. В центральной области глазного дна - полная резорбция ретинального отека и геморрагий. ОS: ВГД = 15,9 мм рт.ст., ПЗ = 499 , ОЗ = 0,8 с коррекцией 1,0
Терапевтический эффект лечения ПОУГ в данном случае проявился в существенном расширении периферических полей зрения и повышении остроты зрения как в леченном, так и контралатеральном глазу. Результаты лечения представлены на рис. 1, 2, где линия "а" обозначает состояние ПЗ до лечения, линия "b"- после лечения. Достигнутый результат обеспечился повышенным на 180% содержанием серотонина и повышенным фибринолитическим и резорбтивным действием аутогемокомпонентного препарата.
Рис. 1. Больная Х. В. И., 62 года. ПЗ правого глаза: а - до лечения, b - после лечения
Рис. 2. Больная Х. В. И., 62 года. ПЗ контралатерального (левого) глаза:
а - до лечения, b - после лечения
Пример 2.
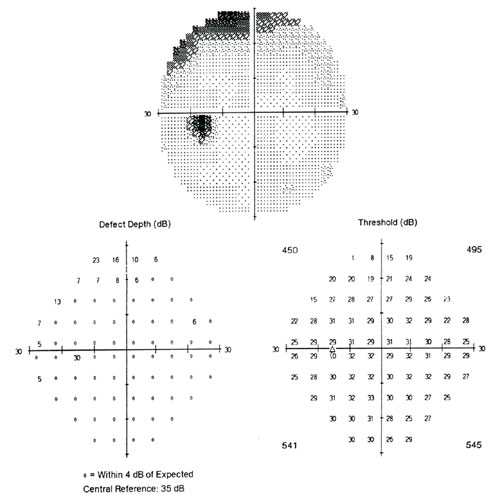
Больной Т.П.И. 52 лет. Диагноз: OU первичная ОУ II а глаукома. OD экссудативная макулопатия.
ОD: ВГД = 19,2 мм рт.ст., ОЗ = 0,6 н/к, ДЗН с четкими контурами, деколорирован, сосудистый пучок сдвинут к носу, перегибов сосудов нет. В макулярной области плоский ретинальный отек. ОS: ВГД = 21,0 мм рт.ст., ОЗ = 0,8 н/к, ДЗН с четкими контурами, бледно-розовый, сосудистый пучок слегка сдвинут к носу, перегибов сосудов не выявлено. ЦПЗ на обоих глазах исследовано на анализаторе Humphrey (США). В ЦПЗ обоих глаз выявлено 369 и 149 дефектов, соответственно.
Лечение проводили гемокомпонентным препаратом с повышенным на 95% содержанием серотонина. Парабульбарно ОD вводили по 0,5 мл, внутримышечно по 8,0 мл по вышеописанной схеме. Всего на курс лечения потребовалось 12 парабульбарных и 12 внутримышечных инъекций.
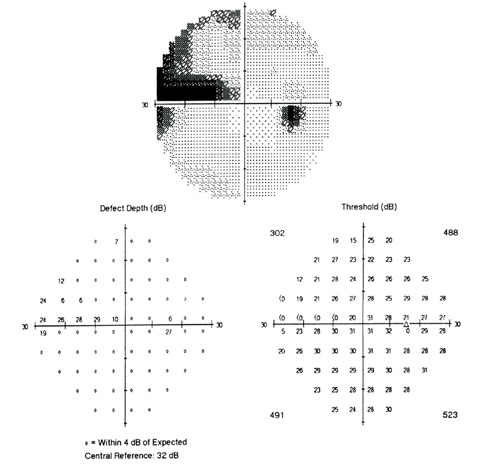
Рис. 3. Больной Т. П. И., 52 года. ЦПЗ правого глаза до лечения
Рис. 4. Больной Т. П. И., 52 года. ЦПЗ правого глаза через 2 мес. после лече-ния
После проведенного курса лечения ВГД в обоих глазах находилось на прежнем уровне. ОЗ: ОD - 0,8 н/к, ОS - 1,0. В ЦПЗ правого глаза уменьшилось количество дефектов с 369 до 205. В контралатеральном глазу количество скотом снизилось со 149 до 48.
На рис. 3 - 5 представлено ЦПЗ ОD до лечения, через 2 и 6 мес. после лечения. На рис. 6, 7 - ЦПЗ контралатерального глаза до и через 2 мес. после лечения.
Рис. 5. Больной Т. П. И., 52 года. ЦПЗ правого глаза через 6 мес. после лече-ния
Рис. 6. Больной Т. П. И., 52 года. ЦПЗ контралатерального (левого) глаза до лечения
Рис. 7. Больной Т. П. И., 52 года. ЦПЗ контралатерального (левого) глаза че-рез 2 мес. после лечения
Обсуждение
В настоящем исследовании на примере здоровых волонтеров впервые показано, что блокада одного из 14 типов серотониновых рецепторов вызывает появление скотом, которые самостоятельно исчезают в течение 12 недель. Этот результат в какой-то мере согласуется с исследованиями, свидетельствующими, что стимуляция серотониновых астроглиальных рецепторов ингибирует апоптоз и увеличивает высвобождение нейротрофического протеина. Повышение ВГД у здоровых лиц в результате приема латрана в среднем на 2,8 мм рт.ст. вполне согласуется с результатами экспериментальных работ, в которых было показано, что снижение ВГД и регуляция гидродинамики внутриглазной жидкости связаны со стимуляцией серотониновых рецепторов 14, 15 . Тот факт, что одновременное парабульбарное и внутримышечное введение ААП приводит к повышению остроты зрения и уменьшению количества центральных скотом только в глазах с ПOУГ, в которых определялись ретинальный отек и (или) геморрагии в парамакулярной области, и не влияет на зрительные функции контрлатеральных глаз, свидетельствует о локальном фибринолитическом, резорбтивном и противоотечном действии ААП. Результаты, полученные в группе больных ПOУГ, в которой таким же способом вводили ААПС, показали как местное, так и системное ее действие.
Местное фибринолитическое, резорбтивное и противоотечное действие проявилось в улучшении состояния глазного дна и повышении ОЗ в глазу на стороне ее введения. Общее действие проявилось в повышении ОЗ в контралатеральных глазах, а также расширении периферических границ ПЗ и уменьшении количества центральных скотом в обоих глазах. Очевидно, это связано с повышенным содержанием серотонина в ААП и его системном действии через центральную нервную систему. Однако известно, что серотонин, находящийся в крови в обычных условиях, не проникает через гематоэнцефалический барьер. Отсюда следует, что, вероятно, в указанной группе больных ПOУГ была нарушена проницаемость гематоэнцефалического барьера. При этом условии серотонин мог поступать из крови в мозг. Кроме этого, одновременно в мозг при нарушении гематоэнцефалического барьера могли попадать метаболиты, в частности, свободный гемоглобин и миоглобин, которые блокируют серотониновые рецепторы, приводя этим к дисфункции взаимодействия между нейронами, астроцитами и кровеносными сосудами микроциркуляторного русла, обеспечивая условия для развития ишемии и апоптоза зрительного нерва и корковой части зрительного анализатора.
Известно, что деблокирование серотониновых рецепторов может происходить при искусственном повышении концентрации серотонина. Вероятно, аналогичная ситуация сложилась у больных, получавших ААПС: при повышенной проницаемости гематоэнцефалического барьера дополнительно введенный в организм серотонин с ААПС проникает в мозг; деблокирует серотониновые рецепторы; через 5-HT нормализует церебральное кровообращение и через астроглиальные рецепторы повышает высвобождение нейротрофического протеина S-100 beta. Такое воздействие может благоприятно влиять на все звенья зрительного анализатора. Учитывая похожесть эмбриогенеза, крайнюю близость расположения в центральной нервной системе, физиологическую и биохимическую направленность действия серотониновых и ацетилхолиновых рецепторов, можно рассчитывать, что одновременное использование ААПС и глиатилина (или других донаторов холина) при лечении больных ПOУГ существенно усилит терапевтическую эффективность каждого препарата.
На основании полученных результатов можно предположить, что в патогенезе ПОУГ важную роль может играть нарушение проницаемости гематоэнцефалического барьера и нарушение серотонинового баланса в системе зрительного анализатора и переднего отрезка глаза. При повышенной проницаемости гематоэнцефалического барьера некоторые метаболиты, обычно не проникающие в мозг, транспортируются в него и блокируют серотониновые рецепторы, обеспечивающие нормальную нейронально-астроцито-васкулярную функцию. Таким образом, создаются условия для развития ишемии и апоптоза зрительного нерва и корковой части зрительного анализатора. Эти же метаболиты, вероятно, блокируя серотониновые рецепторы кровеносных сосудов в радужке и цилиарных отростках, могут приводить к повышению ВГД и нарушению регуляции гидродинамики глаза.
Литература
- Муха А. И., Лысенко В. С., Галилеева В. В. Технология получения активированной аутоплазмы для лечения сосудистых заболеваний глазного дна: Методические рекомендации.- М., 1997.- 12 c.
- Нестеров А.П. Первичная глаукома.- М., 1995.- 265 с.
- Ahlemeyer B., Beier H., Semkova I. et al. S-100 beta protects cultured neurons against glutamate- and staurosporine-induced damage and is involved in the antiapoptotic action of the 5-HT(1A)-receptor agonist, BayX3702 // Brain Res.- 2000.- Vol. 858.- No. 1.- P. 121-128.
- Bidmon H. J., Schfeicker A., Wicke K. et al. Localisation of mRNA for h5-HT1B and h5-HT1D recptors in human dorsal raphe // Naunyn. Schmiedebergs. Arch. Pharmacal.- 2001.- Vol. 263.- No. 3.- P. 364-368.
- Bragadottir R., Kato M., Jarkman S. Serotonin elevates the C-wave of the electroretinogram of the rabbit eye by increasing the transepithelial potentional // Vision. Res.- 1997.- Vol. 37.- No. 18.- P. 2495-2503.
- Caicoya A. G., Beneytez M. E, Delgado M., et al. Biochemical, electrophysiological and neurohormonal studies with B-20991, a selective 5-HT1A receptor agonist // Pharmacology.- 2001.- Vol. 64.- No. 4.- P. 234-242.
- Cohen Z., Bouchelet I., Oliver A., et al. Multiple microvascular and astroglial 5-hydroxytryptamine receptors subtypes in human brain: molecular and pharmacologic characterization // J. Cereb. Blood Flow Metab.- 1999.- Vol. 19.- No. 8.- P. 908-917.
- Cohen Z., Bonvento G., Lacombe P., et al. Serotonin in the regulation of brain microcirculation // Prog. Neurobiol.- 1996.- Vol. 50.- No. 4.- P. 335-362.
- Hall H., Farde B., Halldin C. et al. Autoradiographic localisation of 5-HT(2A) receptors in the human brain using [(3)H] M100907 and [(11)] M100907 // Synapse.- 2000.- Vol. 38.- No. 4.- P. 421-431.
- Harries L. C., Awe S. O., Opere C. A. et al. 3H-serotonin release from bovine iris-ciliary body: pharmacology of prejunction serotonin 5-HT7 autoreceptors // Exp. Eye Res.- 2001.- Vol. 73.- No. 1.- P. 59-67.
- Jiang L. G., Teshima K., Yang Y. et al. Pre- and postsynaptic actions of serotonin on rat suprachiamatic nucleus neurons // Brain Res.- 2000.- Vol. 866.- No. 1-2.- P. 247-256.
- Jin X.T., Brunken W. J. Serotonin receptors modulate rod signals: a neuropharmacological comparison of light- and dark-adapted retinas // Vis. Neurosci.- 1998.- Vol. 15.- No. 5.- P. 891-902.
- Mauler F., Fahrig T., Horvath E., et al. Inhibition of evoked glutamate release by the neuroprotective 5-HT(1A) receptors agonist BAYX3702 in vitro and in vivo // Brain Res.- 2001.- Vol. 888.- No. 1.- P. 150-157.
- Osborne N. N., Wood J. P., Melena J., et al. 5-Hydroxytryptamine 1A agonists: potential use in glaucoma. Evidence from animal studies // Eye.- 2000.- No. 14 (pt3b).- P. 454-463.
- Semkova I., Wolz P., Krieglstein J. Neuroprtective effect of 5-HT(1A) receptor agonist, BayX3702, demonstraited in vitro and in vivo // Eur. J. Pharmacol.- 1998.- Vol. 359.- P. 251-260.
- Struder H. K., Weicker H. Physiology and pathophysiology of the serotoninergic system and its implications on mental and physical performance // Part I Int. J. Sports Med.- 2001.- Vol. 22.- No. 7.- P. 467-481.
- Veglio F., De-Sanctis U., Schiavone D. et al. Evaluation of serotonin levels in human aqueous humor // Ophthalmologica.- 1998.- Vol. 212.- No. 3.-P. 160-163.
- Whitaker-Azmitia P.M., Murphy R., Azmitia E. C. S-100 protein is released from astroglial cells by stimulation of 5-HT(1A) receptors // Brain Res.- 1990.- Vol. 528.- P. 155-158.
A.I. Mukha
Disordes of the serotonin system and of the blood-brain barrier in patogenesis of primary open angle glaucoma
Aims of the work:study of the influence exerted by a selective serotonin blocker, 5HT3 receptors, on the level of intraocular pressure (IOP) and on the condition of visual field (VF) in healthy volunteers. And study of the influence produced by activated autoplasma (AAP) and AAP with a higher content of serotonin (AAPS) on visual acuity (VA) and on the condition of VF in patients with primary open angle glaucoma (POAG).
The blockade of the serotonin receptors (5HT3) led, in healthy volunteers, to a higher IOP and to defects in VF. The administration of AAPS increased, in POAG patients, their VA and significantly improved the condition of VF both in the treated and contralateral eyes. This is possible in a deranged permeability of the blood-brain barrier (BBB), when serotonin, additionally introduced into plasma, penetrates into the brain and unblocks the serotonin receptors, thus, normalizing their physiological activity. It can be suggested, with due respect for the obtained results, that both the serotonin receptors, blockade in the anterior eye segment (iris, ciliary body) and the deranged BBB permeability (which enables the penetration, into the brain, of metabolites blocking the serotonin receptors in the visual analyzer and contributing to the development, in the analyzer, of ischemia and apoptosis can play simultaneously an important role in the pathogenesis of POAG.
Комментарии пользователей Русский офтальмологический каталог www.ophthalmology.ru : Уважаемые пользователи! Для того чтобы комментировать эту статью, Вам нужно войти в систему или зарегистрироваться25 октября 2006 года, 16:31
Чтобы прокомментировать статью, войдите в систему или зарегистрируйтесь!
Зарегистрируйтесь, и Вы сможете добавлять свои статьи на наш сайт!
|